23 มีนาคม 2565
พลเมืองดีที่คอยดูแลช่วยเหลือสุนัขจรจัดมีบทบาทสำคัญในการช่วยเหลือสัตว์ที่กำลังป่วย พวกเขารู้จักสุนัขในชุมชนของพวกเขาเป็นอย่างดีและแจ้งมาที่เราเมื่อหนึ่งในนั้นไม่สบาย
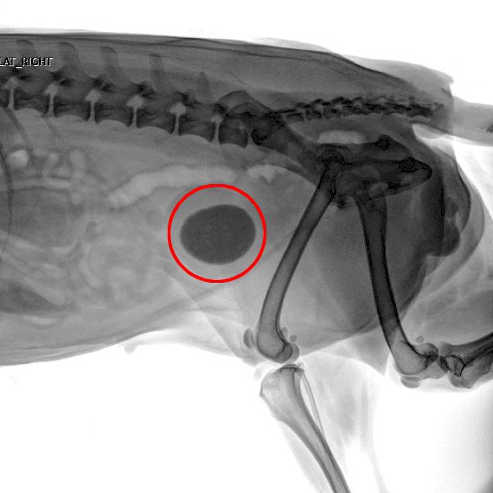
ลาเต้เป็นสุนัขเพศเมียที่เป็นมิตร และกำลังป่วยด้วยอาการปัสสาวะเป็นเลือด ทำให้เรารู้ว่ามีบางอย่างร้ายแรงเกิดขึ้น ทีมสัตวแพทย์ได้ตรวจอย่างละเอียดพบว่าลาเต้มีก้อนนิ่วขนาดใหญ่อยู่ในกระเพาะปัสสาวะ และทำให้เธอต้องขับถ่ายอย่างยากลำบาก
ทีมศัลยแพทย์ผู้มีประสบการณ์ของเราได้ผ่าตัดเอาก้อนนิ่วนั้นออกไป ตอนนี้ลาเต้หายเป็นปกติดีแล้วและกลับคืนสู่ชุมชนของเธออย่างมีความสุขแล้ว
WVS Thailand ให้ความช่วยเหลือทางด้านการแพทย์แก่สัตว์ที่ไร้ที่พึ่ง แต่เราไม่อาจประสบความสำเร็จได้ถ้าหากขาดการสนับสนุนและการบริจาค โปรดพิจารณาช่วยสนับสนุนการทำงานของเรา ช่องทางการบริจาค https://wvsthailand.org/en/donate/
ทุกการบริจาคมีส่วนช่วยเหลือสัตว์ที่กำลังทุกข์ทรมานและช่วยให้พวกเขามีชีวิตรอดได้

414-2-33936-1
KASITHBK
มูลนิธิดับเบิลยู วี เอส ไทยแลนด์
ธนาคารกสิกรไทย จำกัด (มหาชน)
สาขาสี่แยกสนามบินเชียงใหม่
50200
หากคุณโอนเงินผ่านธนาคาร โปรดแจ้งเราทางอีเมล์ donations@wvsthailand.org เนื่องจากระบบธนาคารที่นี่ไม่อาจระบุตัวผู้บริจาคได้ และเราอยากจะส่งคำขอบคุณไปถึงคุณ
หากการบริจาคของคุณมีไว้เพื่อสุนัขหรือวัตถุประสงค์เฉพาะ โปรดแจ้งให้เราทราบ!
โปรดแจ้งให้เราทราบเมื่อคุณประสงค์ที่จะเข้าเยี่ยมศูนย์ของเรา
เรายินดีเป็นอย่างยิ่งที่ได้พบคุณและแสดงสุนัขบางตัวที่เราช่วยเหลือ!
เรื่องราวช่วยเหลือเพิ่มเติม
23 มีนาคม 2565
พลเมืองดีที่คอยดูแลช่วยเหลือสุนัขจรจัดมีบทบาทสำคัญในการช่วยเหลือสัตว์ที่กำลังป่ว…
10 ธันวาคม 2564
สัตว์เลี้ยงที่ถูกปล่อยให้ออกมาจากบ้านได้อย่างอิสระนั้นมักจะได้รับอันตรายจากหลายๆ…


